Dobrodošli u naš Rendgen centar – centar za digitalno snimanje zuba i vilicena Novom Beogradu! Sa ponosom ističemo da smo prva ordinacija u zemlji koja je instalirala najsavremeniji rendgen uređaj Dexis OP 3D Pro.
Naša misija je da vam omogućimo vrhunski kvalitet usluga, minimalno zračenje i maksimalnu preciznost u dijagnostici.
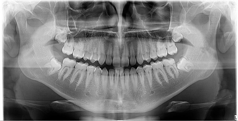
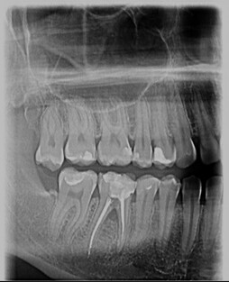
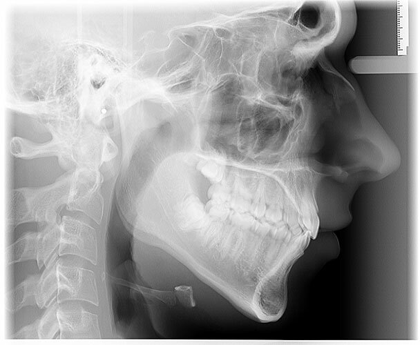
Naš rendgen centar ponosno koristi Dexis OP 3D Pro, uređaj koji omogućava potpuno digitalno i vrlo precizno snimanje.
Ovaj savremeni uređaj pruža jasne i detaljne slike koje olakšavaju dijagnostiku i planiranje terapije. Prednosti korišćenja Dexis OP 3D Pro uređaja su mnogobrojne:
Nisko zračenje koje je bezbedno za pacijente svih uzrasta, naročito za decu.
Dexis OP 3D Pro donosi potpuno digitalno rešenje za ortopantomogram (OPG), telediogram, skanogram, bitewing, i 3D snimke vilice, čime pruža sveobuhvatnu podršku dijagnostici za različite stomatološke zahvate i analize.
Bilo da vam je potrebno jednostavno snimanje zuba ili složeniji pregled maksilarnih sinusa i TM zglobova, naš centar je tu za vas.
U našem rendgen centru, posebnu pažnju posvećujemo najmlađim pacijentima. S obzirom na to da deca često zahtevaju poseban pristup i brigu, naš tim je obučen da se bavi potrebama dece na način koji ih ohrabruje i umiruje tokom snimanja.
Dexis OP 3D Pro poseduje poseban program za decu koji dodatno smanjuje izlaganje zračenju tokom snimanja. Ovaj program automatski prilagođava parametre snimanja prema veličini i starosnoj dobi deteta, čime se osigurava maksimalna bezbednost. Ovakav pristup omogućava nam da dobijemo jasne, precizne slike zuba i vilice čak i kod najmlađih pacijenata, bez ugrožavanja njihove sigurnosti.
| Dentalni radiogram * | 800 |
| Ortopantomogram * | 2500 |
| Teleradiogram * | 2500 |
| Snimak maksilarnih sinusa * | 2500 |
| Snimak TM zglobova * | 2500 |
| Skanogram * | 1500 |
| Bitewing * | 1500 |
| 3D 5x5 ** | 4000 |
| 3D 6x8 ** | 5000 |
| 3D 8x8 ** | 5500 |
| 3D 8x15 ** | 6000 |
| 3D 13X15 ** | 6500 |
| Uvećani snimak | 1200 |
| Kopija ortopan snimka | 1200 |
| CD | 200 |
| * Snimak se dobija na email adresu i na filmu ** Snimak se dobija na email adresu i na cd; 50% popusta na low dose snimak |
Ponedeljak - Petak
9:00 - 20:00
SUBOTA
9:00 - 15:00




U cilju pružanja što boljih usluga sarađujemo sa osiguravajućim kućama

